咨询热线
400-810-0881
新年刚过,西方情人节便接踵而至。小编特意准备了情人节 促 销 好 礼 !!!送给亲爱的你~ 2019-02-13 16:59:00.0
ATCC低价狂欢双十一, 全线产品8.8折。2018-11-02 11:28:00.0
GE全线75折,单品惊爆价,双重促销活动来袭!2018-11-01 16:53:00.0
恰逢今年是abcam成立的20周年,值此20周年庆典之际,衷心感谢各位伙伴和用户对Abcam的支持,中原携手Abcam为您带来多种优惠活动。2018-10-17 15:27:00.0
GE Healthcare的产品包括分子生物学试剂、电泳仪器、层析设备、层析介质、膜分离、分光光度计等,涵盖了从上游分子生物学到下游生物大分子分离纯化...2018-10-09 16:27:00.0
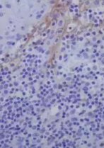
Abcam推出了针对PD-L1的IHC实用套装(ab236676)。2018-09-19 11:25:00.0
中原生物开学大礼包!2018-09-11 09:22:00.0
罗氏诊断荧光PCR试剂&耗材促销火热进行中!2018-09-06 10:11:00.0
京公网安备11010502040370号 技术支持:青云软件